Skip Menu
Continue
Logo
  • Home
  • About Us
    • Financial Options
    • Smile Gallery
    • Reviews
  • Meet the Team
    • Ritu Sood Disick, DDS
    • Diego Espinoza, DDS
    • Samuel Cassani, DDS
    • Dental Hygienists
    • Dental Assistants
    • Front Office
  • Services
      • All on 4®
      • CEREC®
      • Cosmetic Smile Makeovers
      • Preventive & Restorative Care
      • Dental Crowns and Bridges
      • Dentures
      • Emergency Treatment
      • Extractions
      • Fluoride Treatment
      • Invisalign® Premier Provider
      • Root Canal Therapy
      • Sedation Dentistry
      • Teeth Whitening
      • Porcelain Veneers
    • View All
  • New Patient Portal
    • What to Expect at Your First Visit
    • New Patient Forms
  • Promotions
  • Contact Us
    • Contact Us
    • Schedule an Appointment

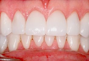
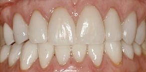
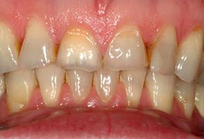
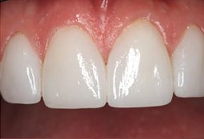
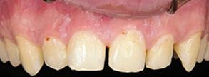
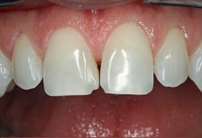
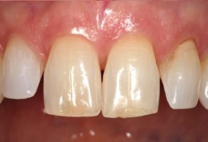
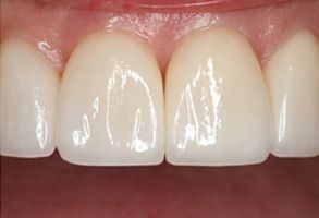
Smile Gallery

Our Location

1575 Treat Boulevard
Suite 115
Walnut Creek, CA 94598

(925) 270-4147

Follow Us

Our Hours

Monday 8:00 am - 5:00 pm
Tuesday 8:00 am - 5:00 pm
Wednesday 8:00 am - 5:00 pm
Thursday 8:00 am - 5:00 pm